20代女性「ガミースマイルが気になる・歯の傾きが気になる」-矯正治療-

治療開始時

治療完了時

治療のpoint

「口元も斜めに見える」

レントゲンの分析でガミースマイルや口元の見え方は骨格と歯の傾きによるものとわかりました。骨格の傾きにより口元の筋肉も影響を受け、その結果笑った時の口元に歪みが生じていました。そのため、ワイヤーによる矯正だけでなく、口元の動かし方も含めてトレーニングを行い理想の笑顔を作れるような治療の目標を立てました。

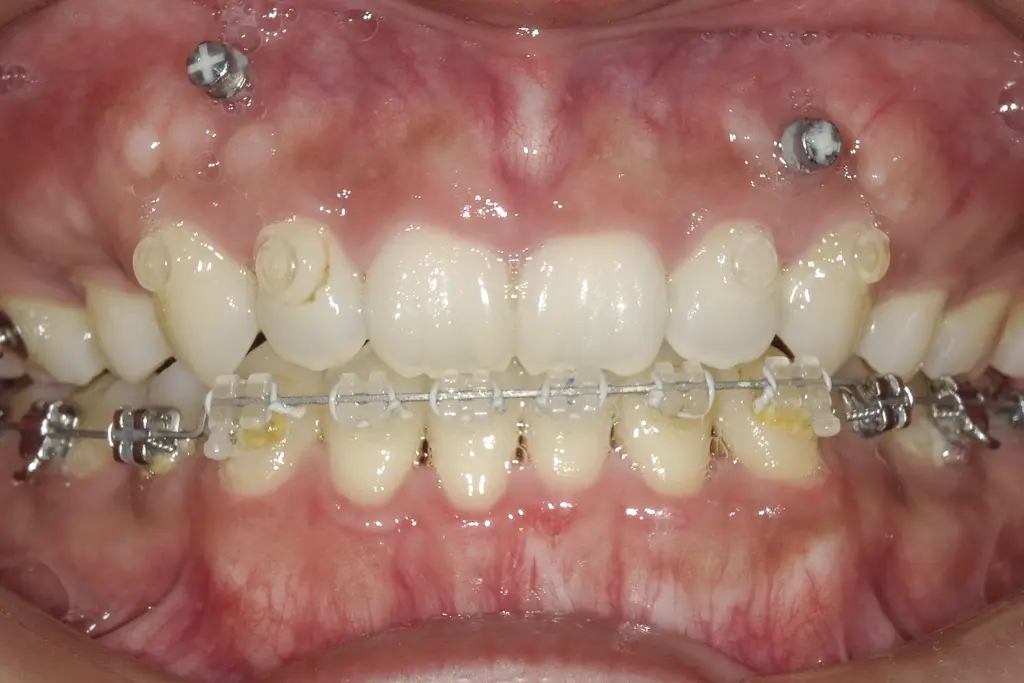
アンカースクリューにて歯の位置を調整しています

歯の位置をアンカースクリューにて調整しています。

口元や舌のトレーニングをします

飲み込む時に舌が前に出てしまう癖が見られたのでトレーニングで正しい使い方をお伝えします。歯並びが整ってくると口元の筋肉も使いやすくなってきます。

治療内容:第1小臼歯を4本抜歯し、ワイヤータイプの装置で矯正しました。

治療費:ワイヤー矯正総額106万円〜178万円(税込)

※治療終了後における定期検診時の保定観察料は含んでおりません。

治療期間:3Y

副作用とリスク:痛み・治療後の後戻り・歯根吸収・歯髄壊死・歯肉退縮

歯科医師:鈴木智久

関連記事