
20代女性「歯並びが気になる」-矯正治療-
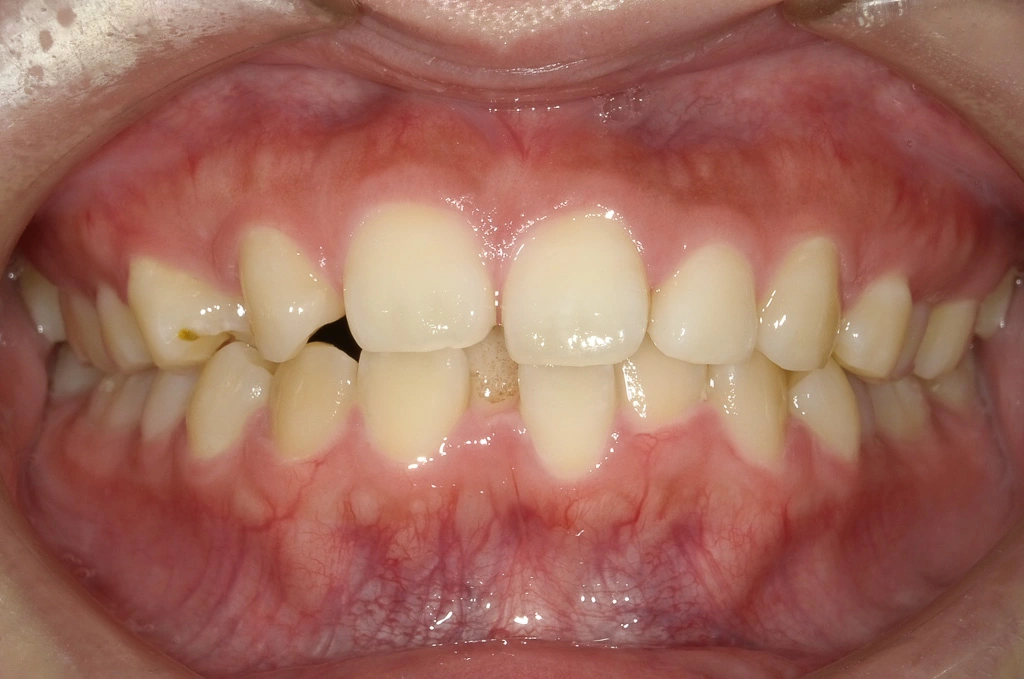
治療開始時

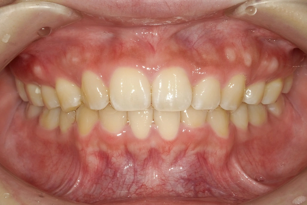
治療完了時

治療のpoint
「ワイヤーだけど目立たない装置で」

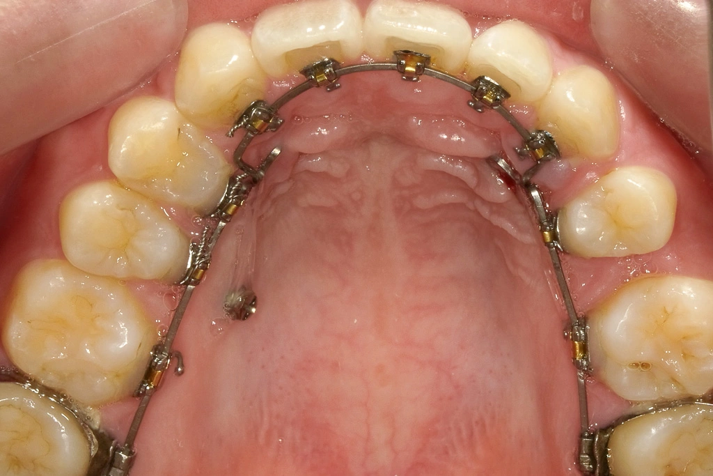
マウスピースタイプはしっかり使えるか不安とのことで、上の歯は裏側の装置を用いました。
アンカースクリューでも歯の位置を調整しています

元々の歯の本数が左右で異なっているため、抜歯している部位が違います。左右差を整えるためにアンカースクリューにて調整しています。
仕上がりを確認しています

最終チェックをしています。一緒に気になるところがないか確認しています。
治療内容:第1小臼歯を3本抜歯し、ワイヤータイプの装置で矯正しました。
治療費:ワイヤー矯正総額106万円〜178万円(税込)
※治療終了後における定期検診時の保定観察料は含んでおりません。
治療期間:2Y
副作用とリスク:痛み・治療後の後戻り・歯根吸収・歯髄壊死・歯肉退縮
歯科医師:鈴木智久
関連記事
